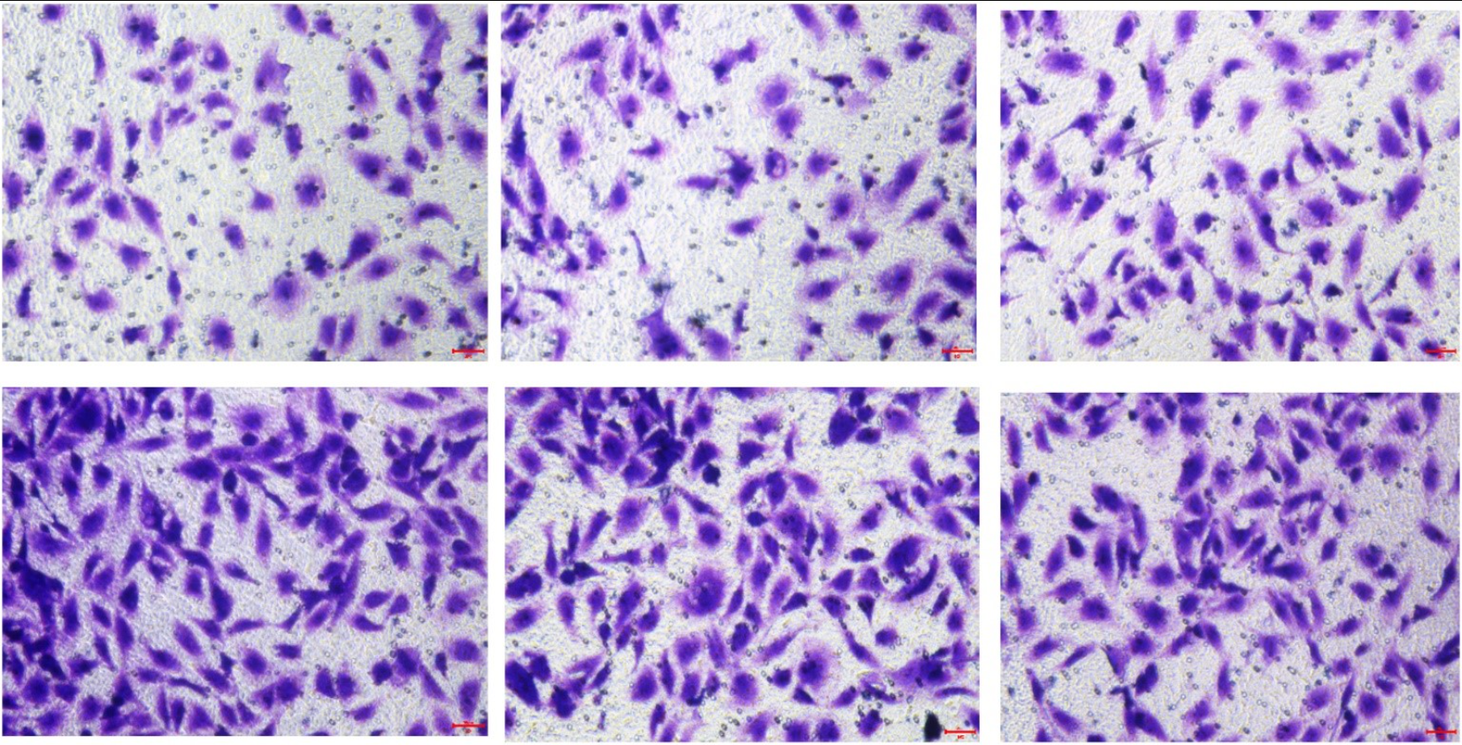
Transwell小室上室为无血清细胞悬液,下室为含血清的培养基,利用细胞对血清中的某些细胞因子的趋向性促使细胞向下室转移,计数进入下室的细胞量可反映细胞转移能力。
细胞运动性的研究,尤其是在肿瘤细胞的侵袭转移中应用很广泛。肿瘤转移是恶性肿瘤生物学特征之一,在肿瘤转移过程中的某些阶段,肿瘤细胞表现出较强的运动能力,如肿瘤细胞从原发瘤灶分离,进而侵入到邻近组织及再穿过血管壁进入血液循环和穿出血管壁进入继发部位等,因而细胞运动性的研究在弄清肿瘤细胞侵袭和转移的机制上有重要地位。
实验时,上室为无血清细胞悬液,下室为含血清的培养基,血清中某些成分如一些细胞因子,对细胞生长来说是必不可少,因此细胞对这些因子具有趋向性,利用细胞的这种趋性促使细胞向下室转移,细胞发生迁移后会黏附于聚碳酸酯膜底部,以聚碳酸酯膜底部细胞数量来显示细胞转移能力,不同细胞在此会显示不同的运动转移能力。

